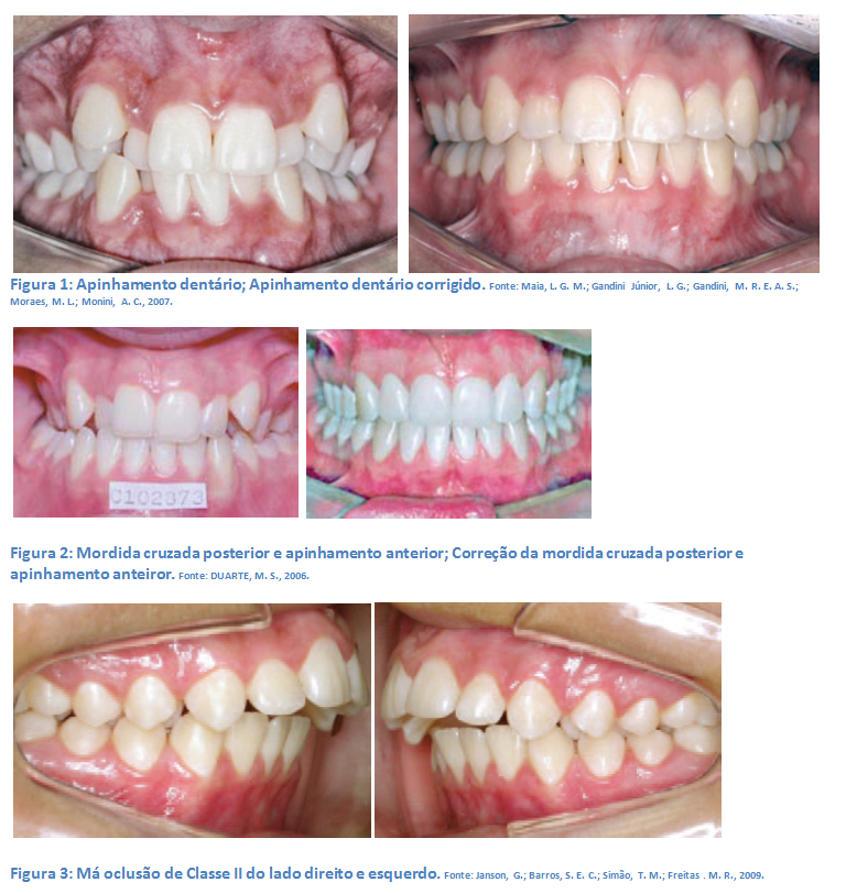
A Ortodontia é a especialização da Odontologia responsável pela movimentação dos dentes. O ortodontista é o cirurgião-dentista especialista em Ortodontia. O Ortodontista trabalha corrigindo os apinhamentos dentários (dentes tortos), as atresias de maxila (que geram as mordidas cruzadas), as más oclusões de Classe II e Classe III, as mordidas abertas, as mordidas profundas, e também problemas esqueléticos que necessitem de cirurgias ortognáticas. O Ortodontista pode também auxiliar o tratamento realizado por outras especialistas, como o periodontista, o implantodontista, o protesista e outros. É importante frisar que os benefícios da realização da ortodontia não são somente estéticos, mas também funcionais, permitindo uma melhor mastigação, melhor higienização e evitando traumas que podem levar recessões gengivais, mobilidades dentárias e problemas endodônticos.




|